Alright, buckle up! We’re diving into some of the *wildest* dentist stories out there. These aren’t your usual "brush and floss" chats - nope, these are the "oh no, stop!" moments that dentists have seen firsthand. Ready? Let’s go!
This post may include affiliate links.
Imagine being a kid so unlucky that your teeth didn’t just rot - they grew mold. Yep, a dentist had a preteen patient who had to get all their teeth yanked and swapped for dentures because the mold was that bad. Moral of the story: brush your teeth, kiddos.
A dental therapist’s partner once saw a little girl whose teeth were actually covered in clumps of her own black hair - all sticky and gross. Sounds like cleaning that was like trying to unclog a shower drain with a comb. Eww.
Once, someone nodded off mid-dentist visit... only to wake up to frantic shouts of "Open! Open!!" because they shut their mouth right on the nurse’s poor finger. Classic.
So, a patient had a cavity filled and agreed to let a med student watch. The student then proudly announced he doesn’t brush his teeth because "if you’re healthy, why bother?" Spoiler alert: the patient never went back there again.
One person’s dental saga included 8 years of braces, spurs, chains, rubber bands, and jaw surgery for an underbite so huge you could fit two fingers in the gap. Dentists always got wide-eyed checking it out - but hey, at least they ended up with a "million dollar smile" and actual bite power!
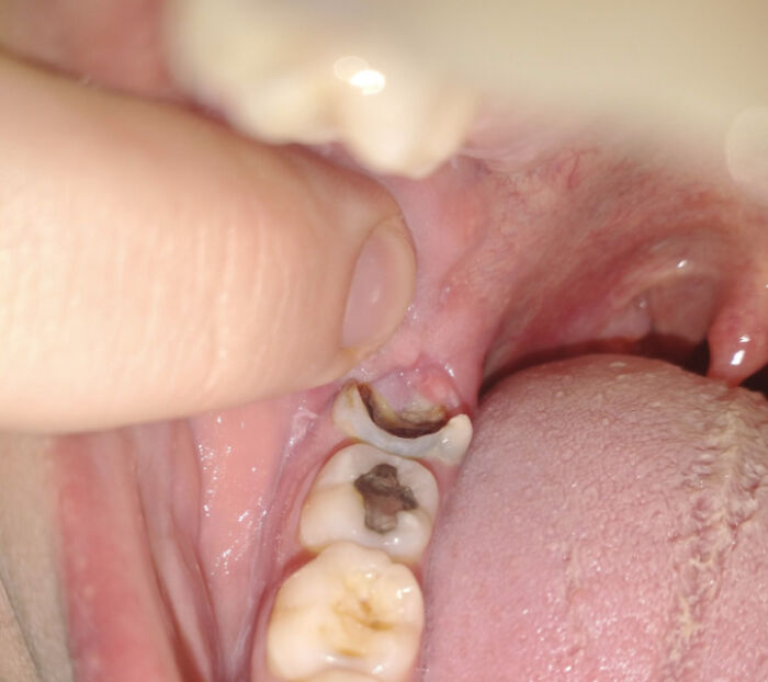
Not your average tooth story - this one involved a tooth so stubborn it got impacted way up inside someone's nose, near their eye! It took 8 years and a whole team to tackle this wild dental mystery.
A patient rarely visited the dentist - and surprise surprise - a live bug flew out of a rotten gum socket. Yes, a *living* bug. Why? We don't know, but it sure gave the dental team all the shivers.
A dentist’s aunt told a story about a 3-year-old kid who only drank Coke - and had to have all his baby teeth removed because they were black and rotting. Sugar crash level: expert.
A dental student’s dad once had a patient whose abscess was so nasty a cockroach actually crawled out of it! The patient said it probably snuck in while sleeping outside. Gross and wild!
One dentist had a patient who, mid-exam, spat something *forcefully* right onto their face. Needless to say, no love lost on that patient.
A dental student once examined a lady who wanted dentures but wasn’t convinced she needed them. Then she pushed a tooth so hard it pointed straight at the student’s face! Plus, a probe slid 15mm deep with pus everywhere. Spoiler: all teeth got pulled and dentures it was.
During a dental residency, a doctor saw a tooth with some weird pink granulation tissue that looked exactly like a worm crawling out. With a major worm phobia, that was a “please excuse me” moment. Eek!
Some patients just can’t swallow their spit and end up holding their mouths shut for a clean. One time a staff member had to physically hold a patient’s teeth in place because they were so loose, they thought the teeth would pop out at any moment. Yikes!
A dentist from a third world country once saw a homeless guy with mouth swelling - and found live maggots literally eating away inside his cheek and gums. Can’t unsee that one.
A dentist tells about a guy whose gums were so red and bleeding they were weeping blood - and the moment the dentist probed the gums, pus gushed out causing the patient to throw up right there. Then another patient needed a dramatic incision and drain because the swelling was threatening their airway. Talk about action-packed dentistry!
A dentist’s girlfriend worked at a kids’ clinic and saw a kid with a nasty cyst in his mouth that, when cut open, *crawled out* a larvae. Yes, like a scene from a sci-fi horror movie. Nightmares guaranteed.
A doctor walked in on a patient sitting in bed surrounded by blood and saliva - and little piles of his own teeth. Apparently, the guy was pulling out his teeth with no tools and won't say how. That’s one way to play dentist…
A sanitation tech saw a mentally disabled woman whose brother was too lazy to help brush her teeth. They had to pull out ALL her teeth - at least eight of which were completely black and stinky. Yikes.
A student dentist told this story about a lady who had gums peeling off - and when she rinsed, pink bubblegum-like pieces came out. Turns out she was brushing with Comet (a powdery toilet cleaner) because it was cheaper than whitening. No wonder her gums gave up!
Once a dentist was a bit stumped by a metal filling, only to realize it was actually a piece of fake foil wrapper from a sneaky kid’s stolen Kit Kat bar. Sneaky little munchkin!
Ever heard of Acute Necrotizing Ulcerative Gingivitis? It’s as gross as it sounds. A student saw a live case with white dead gum tissue and a smell so awful it made everyone gag - even with masks on. Yeah, never forget that one.
A dental nurse once pulled out some rotting chicken from under a patient’s implant denture. Apparently, it smelled like Satan’s worst fart. Yum?
There was this bizarre slimy pink tentacle hanging in a kid’s mouth. The poor kid might have had a parasite and the thing was apparently attached to his lower jaw. Gross and weird!
A dentist once pulled out a patient’s dentures only to find them covered in mold. Yes, actual moldy dentures. No wonder they smelled!
A patient apparently never took her dentures out for *three months* - long enough for a tomato plant to start growing underneath them. Now that’s what we call natural produce!
A guy went to get a crown put on, but accidentally swallowed the crown! After a day or two, he found it in his poop using a strainer. Dentist cleaned and reused the crown - and everyone lived happily ever after.
A woman who hated the gap from a missing front tooth got crafty - she cut off a seagull’s beak, shaped it, and superglued it into her mouth. It flapped around, but hey, she was happy! Just don’t try that at home.
Also, in London a guy wanted all his lower teeth cut into spikes to look like Darth Maul. Dentist said, no thanks.
A dental assistant saw a lady whose teeth were black and eroded because of bulimia - the acid from vomiting had badly eaten away her enamel. Definitely a tough case.
Here's a wild one: A guy thought his painful new tooth was just a wisdom tooth coming in, but it turned out to be a chicken bone stuck in his gum! How that happened? No idea.
Dental horror story: a lady had a fancy porcelain bridge that was basically held in place with screws drilled randomly into her jaw and teeth - including a 3-inch screw that went into the bone. The whole thing got infected and had to be removed. Moral: border town dental work can get wild.
A dentist once treated a patient with 7 wisdom teeth - yes, 3 more than usual. Also met folks with rare genetic diseases and plenty of people who blame everything but their bad habits for rotten teeth. Good luck with that!
A dentist warned a patient not to smoke after surgery. Patient swore he didn’t. Turns out he was secretly chewing tobacco - the cause of his “dry socket” and misery. Chew lessons learned the hard way!
An old man came in with so much hardened tartar that it basically covered his teeth completely. When it was cleaned off, two teeth just decided to fall out. Party foul for sure.
A patient bought plastic stick-on French manicure nails and superglued them onto her teeth - re-sticking them for years! She asked the dentist to make the glue permanent, who refused and tried to clean off all the gunky build-up instead. Spoiler: she stormed out, furious.
To a dentist, rotten teeth aren’t the worst. The worst is the patient who reeks of cigarette smoke like a walking chimney - they even keep Vicks vapor rub handy to survive the smell. It’s brutal.
A patient who grinds teeth so badly that when one was pulled, it literally turned to dust the second it touched the tray. Dental folks probably have seen it all, but that one blew their minds.
A notoriously aggressive patient came in super polite for a checkup, but it turned out she was suffering from "Holeinaitus" – where teeth literally rot so bad holes form inside them. When the dentist used a mirror, a gush of pus popped out on them. Enough to make anyone quit dentistry for a bit.

18
0