Hey! Let’s jump right into a wild list of diseases that folks (even some doctors) say we’re seriously underestimating. Some are sneaky, some are downright terrifying, and a couple are just weirdly fascinating. Buckle up, this is gonna be a quick, fun ride through what *really* should freak you out about your health!
This post may include affiliate links.
Okay, not a disease you can catch, but mental health issues totally sneak under the radar. They mess with your head, your mood, your whole life, and sadly, most people don’t realize how serious it is until it’s too late.
Antibiotics are a big deal, but some people treat them like candy and stop taking them early. BIG no-no. MRSA is a nasty bacteria that laughs at many antibiotics and can cause some serious trouble if you don’t play by the rules.
Your ER nurse says: vaccines don’t just protect you, they protect everyone. Diseases like measles and HPV are making a comeback because some folks skip their shots. Spoiler alert: that’s bad news.
Measles isn’t just a kid’s annoy-scratchy rash. It kills. It should have been wiped out ages ago, but nope. It’s back, and yes, people have died recently from it. Vaccinate those kiddos, people!
This one’s a mood killer, literally. Depression can wreck your life without you even realizing it and sadly leads many to tragic ends. But hey, it’s treatable if you catch it early enough.
C-diff is the bacteria that loves to crash your gut party with explosive diarrhea – and it’s tough to kill. Regular hand sanitizer? Nope. Bleach wipes? Yep. It’s a hospital nightmare and into the thousands of US deaths each year.
Think cuts and sniffles are no biggie? Think again. Antibiotic resistance is the quiet storm that could make minor infections deadly again. The CDC calls it "catastrophic" - kind of a big deal.
This disease happily shuts down your muscles but keeps your brain working. Imagine being trapped in your own body for years. What’s scary? Nobody really knows what causes it, and it’s popping up more in younger folks.
Not a bedtime story! One roommate’s tan bed adventure turned into a terrifying flesh-eating infection requiring 7 surgeries and skin grafts. It spreads fast, and waiting one more day could’ve meant losing a leg or worse.
Ignore diabetes and you’re risking lost limbs and vision. Ignore tooth care? Say hello to expensive and painful dental drama in your 30s. Brushing those teeth twice a day is basically free insurance!
Some people laugh it off, but Alzheimer’s terrifies many more than cancer. Watching your mind fade is one of the harshest monsters out there.
Tick bites might seem like a small annoyance, but Lyme disease can cause long-term pain and even mess with your memory big time. It’s real, and it’s scary, no matter if your state wants to admit it or not.
No cure, just a slow, awful decline. These brain-invading proteins are like something from a sci-fi horror flick, except they’re real.
Heads up: your body has been surviving colds for over a billion years. You don’t need antibiotics for a cold. Chill, rest, and let your immune system shine like a champ.
It’s in the news sometimes, but not enough. Ebola is nightmare fuel - super scary and super deadly. If you want spooky, read “The Hot Zone.”
Got a nasty scratch? Or a bad tooth? Sometimes bacteria hitch a ride to your heart and build little nasty tumors on your valves. If a piece breaks off, it’ll travel through your body causing strokes, heart attacks, and more. It’s like a bad rollercoaster for your heart - and not the fun kind.
Here’s one you probably didn’t expect: tongue rings can wear down your jawbone without much warning. This can lead to infections and surgeries. So, maybe think twice before poking your tongue!
Your air conditioner could be a secret killer. Legionnaires’ disease is a scary lung infection caused by bacteria that love water systems. Keep those ACs clean, folks.
Gonorrhea is getting smarter. It’s starting to resist treatments left and right, and if it keeps this up, it could leave us with very few options. Yep, spooky and gross.
Old age explains some heart problems, but a big chunk of heart issues in folks 40-60? That's junk food and couch potato fame. Seriously, walk 30 minutes a day - it’s that easy!
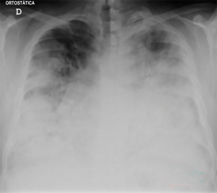
TB is still lurking, becoming resistant and dangerous, especially for folks with weak immune systems. It’s a global menace, just waiting to spread its nasty ways.
MS and cancers love to mess with your nervous system and body in ways that are hard to detect at first. Firefighters and others exposed to weird chemicals are special targets. Shield yourself if you can!
Taking pills daily can get old, but stopping or skipping meds messes you up big time. This especially applies to mental health, organ transplants, and diabetes. Your meds are your body’s BFFs - don’t ghost them!
Hep C hangs out quietly, but can turn into liver cancer. No easy cures here, so it’s definitely one to keep an eye on.
Yes, the plague is still out there, popping up in places like China. It’s freaky and super serious, just like the history books warned us.
Not common stateside but malaria has wiped out half of humanity over time. And getting treatment in the places it’s still active? Total hassle. Don’t let its old-school vibe fool you - still scary stuff.
This mosquito-borne virus is creeping up and could cause years of joint pain. Definitely not the souvenir anyone wants from a vacation.
From long-lasting joint pain from chikungunya to a tick that makes you allergic to red meat - sometimes nature just likes to throw curveballs that mess with your health in weird ways.
Doctor's orders: these things might not scream ‘danger’ but they quietly cause chaos and will likely catch most of us eventually. Exercise, quit smoking, eat right - it’s not rocket science.
Ignore a tiny foot wound with uncontrolled diabetes? You might lose your leg. That’s what happened to a young dude who thought a little topical cream was enough.
Obesity is like a sneaky villain slowing down your body and making other diseases tougher to beat. It’s hitting younger and younger folks, so don’t let it win!
Using antibacterial soap constantly might sound smart, but it’s actually making bacteria tougher. We might just be creating superbugs with all our scrubbing.
Not a doc here, but Lyme disease turned my family’s life upside down. Muscle pain, joint swelling, and one day you might just forget your way home. Creepy and real.
Okay, heard wild stories about tooth infections spreading to the brain. Should I see a dentist after ignoring them for 16 years? Yes. Embarrassed? Join the club. But don’t wait, please.
We don’t know enough about skin cancer yet, but it definitely deserves our attention. Slather on that sunscreen and keep an eye out for weird spots!
Got diabetes? Congratulations, you also signed up for a ton of other health issues. This one’s a franchise of problems, and none of them are fun.
Obesity isn’t just a number. It’s the #1 preventable cause of death, aging’s worst helper, and cancer’s best friend. Plus, it makes surgeries way riskier. No joke.

31
0